ProBioraHealth
ProBiora Oral-Care Chewable Probiotic Tablets | Probiotic Supplement for Women & Men | Healthier Teeth & Gums | Fresher Breath | Whiter Teeth | 30 Count | Pack of 2 | Orange
ProBiora Oral-Care Chewable Probiotic Tablets | Probiotic Supplement for Women & Men | Healthier Teeth & Gums | Fresher Breath | Whiter Teeth | 30 Count | Pack of 2 | Orange
픽업 사용 가능 여부를 로드할 수 없습니다.
About This
- UPGRADE YOUR ORAL CARE: Dentist-recommended ProBiora probiotics for the mouth is the first probiotic formulated to support adult oral and overall health.
- A HEALTHY BODY STARTS WITH A HEALTHY MOUTH: Harmful bacteria cause bad breath, tooth decay, and gum disease, which can be painful, and if left untreated can even lead to more serious health problems, including impaired brain development in young children.
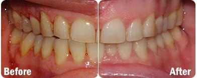
- NATURAL BREATH FRESHENER: The primary cause of bad breath is unwanted, bad bacteria on our teeth and gums, and from that very first tooth, we all have it. Replacing the bad bacteria naturally, with ProBiora Kids good bacteria, results in fresher breath, cleaner teeth and gums, and whiter teeth.
- WHY WE’RE DIFFERENT: While other brands use strains of bacteria that live in the throat and saliva, ProBiora Kids uses a patented blend of good bacteria called ProBiora3, which live on the tooth surfaces and in the gum pockets, where they’re most effective.
- 30+ YEARS OF RESEARCH: ProBiora3 is a proprietary blend of three naturally occurring strains of beneficial bacteria which support gum and tooth health, whiter teeth and fresher breath. ProBiora is the ONLY probiotic specifically designed for better tooth, gum, and mouth health.
- SIMPLE, SAFE AND CONVENIENT: It’s easy to make ProBiora Kids part of your child’s daily dental care routine. Simply chew or dissolve the tablet once per day at bedtime, right after brushing. Plus, ProBiora Kids is 100% natural, allergen-free, and safe to use with braces and other orthodontic equipment.
Overview
- Brand : ProBiora Health
- Flavor : Orange
- Unit Count : 60 Count
- Item Form : Tablet
- Item dimensions L x W x H : 4 x 2 x 5.75 inches
- Special Ingredients : All Natural
- Diet Type : Gluten Free
- Product Benefits : ProBiora is the first probiotic mint designed to support better gum and tooth health as well as overall dental care and hygiene. Our active ingredient ProBiora3 helps create the perfect balance of good bacteria in your mouth. ProBiora is the first probiotic mint designed to support better gum and tooth health as well as overall dental care and hygiene. Our active ingre… See more
- Age Range (Description) : Adult
- Package Information : Bottle
Share

QNA
How can I request a return or refund?
A. We accept returns within 30 days of delivery if the item is unused, in original packaging, and with proof of purchase. Please email us at ellozz0708@gmail.com to request a return. Return labels and instructions will be provided. Note: Custom items, food, sale items, and gift cards are non-refundable.
Q. How long does shipping take?
A. USA orders arrive in 3–8 business days after processing. International orders take 3–12 business days. Customs delays are beyond our control.
Q. Can I cancel my order?
A. Cancellations are possible within 30 minutes after placing your order. A $20 cancellation fee applies per order. Once processed, cancellations are not possible.
Q. Do you provide tracking?
A. Yes! Tracking details will be emailed as soon as your package ships. Please check your email for updates.
Q. What if my delivery is delayed?
A. Rare delays may occur. If no tracking updates appear for 30–60 business days, we’ll reship your order free of charge.
📦 SHIPPING POLICY
📦 SHIPPING DETAILS
Processing Time: 3–5 business days
Shipping Time:
• USA: 3–8 business days
• Rest of World: 3–12 business days
Tracking: Sent to your email once your order ships.
Important Note:
Customs delays or peak seasons may affect delivery times. If no tracking updates appear after 30–60 business days, a replacement will be sent.
Shipping Fee: Varies by region. Free shipping available during select promotions.
For any questions, please contact us:
📧 ellozz0708@gmail.com